※写真の掲載に関しては、患者様の了解を得ています。
※画像はクリックで拡大されます。
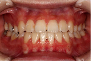
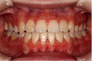
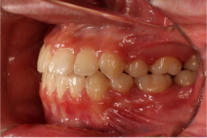
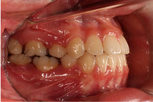
こちらの初診(女性)の患者さんは、下突咬合 / 叢生歯列の症状がありました。
2期治療 16歳11ヶ月から治療を開始し、 2期治療 3年の間、スタンダードエッジワイズ法(与五沢エッジワイズシステム)を用い矯正治療を行いました。
| 治療開始年齢 | 2期治療 16歳11ヶ月 | |||||||||||||||||||||||||||||||||||||||||||||||||||||||||||
|---|---|---|---|---|---|---|---|---|---|---|---|---|---|---|---|---|---|---|---|---|---|---|---|---|---|---|---|---|---|---|---|---|---|---|---|---|---|---|---|---|---|---|---|---|---|---|---|---|---|---|---|---|---|---|---|---|---|---|---|---|
| 症例分類 | 下突咬合 / 叢生歯列 | |||||||||||||||||||||||||||||||||||||||||||||||||||||||||||
| 動的治療期間 | 2期治療 3年 | |||||||||||||||||||||||||||||||||||||||||||||||||||||||||||
| 通院回数 | 36回 | |||||||||||||||||||||||||||||||||||||||||||||||||||||||||||
| 性別 | 女 | |||||||||||||||||||||||||||||||||||||||||||||||||||||||||||
| 区分 | 初診 | |||||||||||||||||||||||||||||||||||||||||||||||||||||||||||
|
||||||||||||||||||||||||||||||||||||||||||||||||||||||||||||
|
|
|
![]() |
|
|
|
|
|
![]() |
|
| 16歳11ヶ月 | 20歳8ヶ月 | |
|---|---|---|
|
→ | |
![]() |
→ | |
|
→ | |
![]() |
→ | |
■治療費の総額の目安
1期治療:総額約25万~39万円 2期治療:総額約67万~92万円
保定観察料:3千円/1回
保険診療:保険診療自己負担額(3割負担)
※具体的な料金は患者さんごとに異なります。
■保定期間
通常2年~3年(状態により異なります)
■通院回数
3~4週間に1回程度、保定期間は4~6か月に1回程度
■副作用・リスク
歯根吸収が起こるリスクがあります。矯正治療中は歯磨きしにくい部分ができるため虫歯や歯周病になるリスクが高くなります。
矯正治療は自由診療となっていますが、当院は自立支援医療(育成医療・更生医療)施設・顎口腔機能診断施設に認定されているため、一部保険のきく矯正治療もあります(唇顎口蓋裂・顎変形症など)。
※記載の治療費は治療当時の金額(税込)です。
当WEBサイトで掲載をしている写真は、全て当院で治療を行った方の症例写真で、真実と異なる治療結果の掲載は一切しておりません。
近年のAI技術の発展で、AI生成画像と実際の写真と区別が難しいフェイク画像が問題になっています。AI生成画像を使用しなくとも、WEBサイトに掲載する画像はデジタルデータのため修正も容易です。
当院はリアリティーを常に追い求め、真実をお伝えするため、実際に治療を行った患者さんにご協力頂き、これから矯正治療を受けらえる方の参考になればと、快く承諾してくださった実例を掲載しております。