矯正治療例
1期治療(子供の矯正)
治療開始時が1期治療(子供の矯正) の患者さんの治療例です。
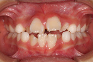
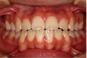
【初診】 1期治療 2期治療 女


治療開始年齢 | 1期治療 8歳 2期治療 13歳 |
---|---|
症例分類 | 下突咬合 / 過蓋咬合 |
動的治療期間 | 1期治療 1年2ヶ月 2期治療 2年2ヶ月 |
【初診】 1期治療 2期治療 男


治療開始年齢 | 1期治療 10歳 2期治療 15歳 |
---|---|
症例分類 | 過蓋咬合 / 叢生歯列 |
動的治療期間 | 1期治療 2年2ヶ月 2期治療 2年8ヶ月 |
【初診】 1期治療 2期治療 男


治療開始年齢 | 1期治療 8歳 2期治療 13歳 |
---|---|
症例分類 | 交叉咬合 / 叢生歯列 |
動的治療期間 | 1期治療 6ヶ月 2期治療 1年6ヶ月 |
【初診】 1期治療 2期治療 女


治療開始年齢 | 1期治療 7歳 2期治療 12歳 |
---|---|
症例分類 | 下突咬合 / 過蓋咬合 |
動的治療期間 | 1期治療 1年1ヶ月 2期治療 2年1ヶ月 |
【初診】 1期治療 2期治療 女


治療開始年齢 | 1期治療 9歳 2期治療 10歳 |
---|---|
症例分類 | 叢生歯列 / 過蓋咬合 |
動的治療期間 | 1期治療 1年4ヶ月 2期治療 2年3ヶ月 |
【初診】 1期治療 2期治療 男


治療開始年齢 | 1期治療 9歳 2期治療 12歳 |
---|---|
症例分類 | 叢生歯列 / 偏位咬合 |
動的治療期間 | 1期治療 6ヶ月 2期治療 1年9ヶ月 |
■治療内容
スタンダードエッジワイズ装置(与五沢エッジワイズシステム)を用いて矯正治療を行いました。
■治療費の総額の目安
1期治療:総額約25万~39万円 2期治療:総額約67万~92万円
保定観察料:3千円/1回
保険診療:保険診療自己負担額(3割負担)
※具体的な料金は患者さんごとに異なります
■治療期間
1期治療:歯を動かすのにかかる期間・・・半年~1年程度、定期観察・・・すべての乳歯が永久歯に生えかわるまで
2期治療:歯を動かすのにかかる期間・・・半年~1年程度、歯並びを安定させるのにかかる期間・・・1年~3年
■保定期間
通常2年~3年(状態により異なります)
■通院回数
3~4週間に1回程度、保定期間は4~6か月に1回程度
■副作用・リスク
歯根吸収が起こるリスクがあります。矯正治療中は歯磨きしにくい部分ができるため虫歯や歯周病になるリスクが高くなります。
矯正治療は自由診療となっていますが、当院は自立支援医療(育成医療・更生医療)施設・顎口腔機能診断施設に認定されているため、一部保険のきく矯正治療もあります(唇顎口蓋裂・顎変形症など)。
※料金はすべて税込です。